San Ramon’s Trusted Chiropractor for Back Pain, Sciatica, Headaches, and Family Care
San Ramon’s Trusted Chiropractor for Back Pain, Sciatica, Headaches, and Family Care
Drug-free, non-surgical solutions for back pain, sports injuries, and chronic pain from Waterman Chiropractic in San Ramon, CA.
Real answers. Real plan. Real results. No guesswork.

80+ Years
Combined Experience

50,000+
Patients Helped

Certified
Practice

Drug-Free
Solutions

Same-Day
Appointments
Evidence-Based, Natural Solutions That Work
We treat the root cause, not just symptoms.

Evidence-Based Protocols – Proven treatment methods backed by clinical research

Personalized Care Plans – No cookie-cutter approaches; customized to your goals

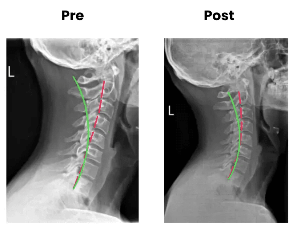
State-of-the-Art Technology – Latest FDA-cleared X-ray digital imaging and spinal decompression systems

Holistic Philosophy – Treat root causes, not just symptoms, for lasting wellness and vitality

Performance Focus – Get you back to the activities you love, stronger than before

Patient Education – Empower you to take control of your health through knowledge and understanding






















